Tirzepatide & Bowel Obstruction: A Case Report

by Archynetys Health Desk

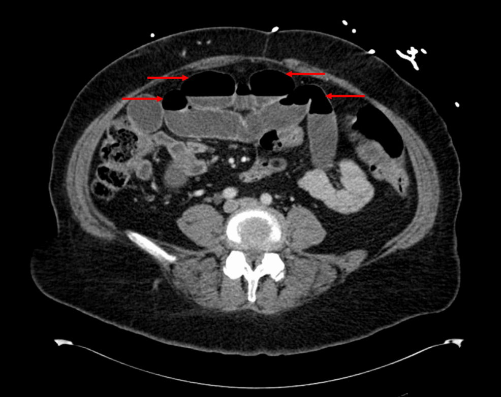
Severe Small-Bowel Obstruction in a High-Risk Patient on Long-Term Tirzepatide Therapy: A Case Report  Cureus

Related Posts

Leave a Comment